С нашими брекетами вы гарантированно получите идеальную улыбку уже через 6 месяцев в рассрочку всего за 6 000 руб в месяц
без стеснения!
Преимущества зубных брекетов
Заметное улучшение улыбки на 50% уже в первые месяцы ношения брекетов
Брекеты, установленные у нас, гарантируют идеальную улыбку по окончании ношения
Брекеты способны выровнять практически любой прикус и положения зубов
Правильное положение зубов снижает риск заболеваний полости рта на 40%
Абсолютно безболезненная установка, которая никак не вредит зубной эмали
Стоимость установки брекетов по карману каждому, особенно с нашей рассрочкой
6 шагов к вашей идеальной улыбке
Ваш первый визит включает консультацию с ортодонтом, который оценивает вашу улыбку и обсуждает с вами план лечения. Мы используем 3D-визуализацию для точного представления конечного результата.
Записаться на консультациюНепосредственно перед установкой брекетов проводится тщательная чистка и подготовка зубов, чтобы обеспечить оптимальное прилегание и эффективность брекетов. Данная гигиеническая процедура очень полезна для здоровья зубов.
Брекеты аккуратно фиксируются на зубах с использованием специального безопасного клея, который не повреждает эмаль. Этот процесс занимает около 1-2 часов, в зависимости от сложности случая.
После установки брекетов ортодонт настраивает их для обеспечения правильного давления на зубы. Первые несколько дней могут быть сопряжены с небольшим дискомфортом, который скоро пройдёт.
Важен регулярный контроль ортодонта для коррекции брекетов и мониторинга прогресса. Визиты обычно происходят каждые 4-6 недель и занимают не более получаса.
По завершении лечения брекеты снимаются. Этот процесс быстр и безболезнен. После снятия проводится профессиональная чистка зубов. Наслаждайтесь своей прекрасной улыбкой!
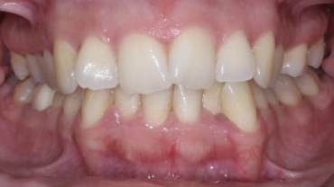
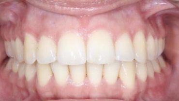
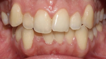
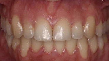
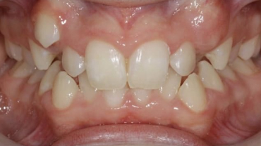
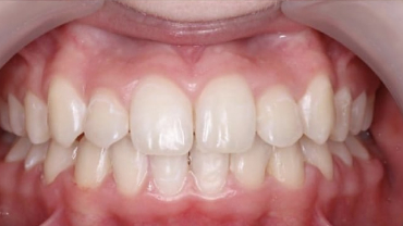
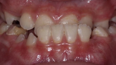
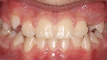
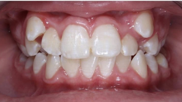
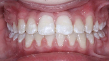
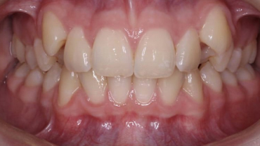
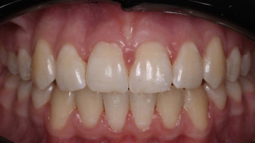
Посмотрите результаты наших клиентов












Перечень услуг и цены на брекеты
услуги
цена
по Хабаровску
Узнайте больше о нашей клинике
На протяжении 5 лет наша стоматологическая клиника предлагает высококачественные услуги по установке брекетов. Мы гордимся тем, что являемся лидерами в данной области, предоставляя индивидуальные решения для каждого клиента. Наша команда стоматологов и опытного ортодонта со стажем работы более 36 лет использует передовые технологии и материалы для гарантии лучших результатов.
За 12 лет работы мы помогли тысячам людей обрести уверенность в себе через красивую улыбку. Наши клиенты ценят нас за профессионализм, индивидуальный подход и внимание к деталям на каждом этапе лечения. Мы используем только проверенные и безопасные материалы для брекетов, включая металлические, керамические, и сапфировые системы, а также предлагаем инновационные прозрачные брекеты для максимального комфорта и эстетики.
В нашей клинике вы найдете современное оборудование и уютную атмосферу. Мы стараемся сделать каждый визит максимально комфортным и безболезненным.
Наша главная цель — забота о вашем здоровье и красоте улыбки.
Познакомьтесь с нашими специалистами




Почему более 1200 клиентов выбрали нас?
Наша клиника использует последние достижения в ортодонтии, включая 3D-визуализацию и цифровое планирование лечения, что позволяет достигать точных и предсказуемых результатов.
Команда включает сертифицированных ортодонтов с более чем 10-летним опытом работы, обеспечивая высокий уровень профессионализма и качества обслуживания.
Каждому пациенту уделяется внимание с учетом его уникальных потребностей и предпочтений, что обеспечивает максимально комфортное и эффективное лечение.
Мы предлагаем разнообразие типов брекетов, включая традиционные металлические, эстетические керамические и инновационные прозрачные системы, чтобы удовлетворить любые требования и предпочтения.
Строгое соблюдение стандартов стерилизации и использование одноразовых материалов гарантирует безопасность и гигиену на высшем уровне.
Благодаря высокому качеству услуг, клинику выбирают и рекомендуют многие пациенты, что подтверждается множеством положительных отзывов и высоким уровнем удовлетворенности клиентов.
Отзывы наших клиентов
«Посетил данную клинику второй раз. Приятная и рабочая атмосфера. Грамотные специалисты! Всё рассказали, показали, дали несколько советов! Всё отлично! Приду сюда еще и в следубщий раз! Посоветовал товарищу клинику, он также остался доволен работой мастеров своего дела!)»
«Выбрала клинику исходя из рейтинга на 2ГИС и близости расположения от места проживания. Была на процедуре гигинической чистки полости рта. Процедуру проводил Вышерев Данил Александрович. Компетентный, внимательный, с долей перфекциониста в отношении к своей работе. Поставила себе заметку на повторное, возможно неоднократное, посещение.»
«Удалил зуб мудрости, верхний, с острой болью! Даже не успел испугаться, а зуба уже нет! Александр Евгеньевич, просто волшебник! Спасибо за профессионализм!»
«Первые впечатления хорошие. Тихо, спокойно, красивый интерьер. Администратор вежливая, доктор вел диалог грамотно, описывал всё понятно, уделал внимание частностям и деталям.»
У нас есть все необходимые лицензии
Отвечаем на ваши вопросы
Действительно, зубы могут быть чувствительны в течение нескольких дней после фиксации брекетов – но не всегда, это очень индивидуально. Это совершенно нормальная реакция, пугаться которой не нужно. Боль пройдет тем скорее, чем раньше вы начнете активно жевать и не обращать на нее внимание.
Способов коррекции два: брекет-системы и элайнеры.
Брекет-системы — это несъемные конструкции, которые крепятся с внешней (вестибулярные брекеты) или внутренней (лингвальные брекеты) стороны зубов. Элайнеры же представляют собой съемные пластиковые капы. Они удобны тем, что их можно снимать перед едой и чисткой/
Вам нужно будет носить эластики. Эластики – это резиновая тяга между челюстями – надевать их необходимо самостоятельно по определенной схеме. Этот этап лечения проходит у всех по-разному (кто-то носит резиночки 1-2 месяца, а кто-то на протяжении всего лечения) Вы должны тщательно соблюдать гигиену полости рта и регулярно посещать профессиональную чистку зубов. Брекет-система или любой другой ортодонтический аппарат не наносит вреда эмали, но усложняет чистку зубов. Именно в результате недостаточной чистки увеличивается риск деминерализации эмали и образования кариеса. Регулярно посещать врача-ортодонта. Врач-ортодонт будет информировать о точных сроках активации брекет-системы. Нерегулярные посещения, увеличение периода между активациями в конечном счете приведет к осложнениям и увеличению сроков ородонтического лечения. Ортодонтическое лечение – это работа не только врача-ортодонта, но и ваша. Только с вашей помощью врач-ортодонт сможет успешно и эффективно провести лечение и получить наилучший результат.
Нет, брекеты ни в коем случае зубы не портят. Такой миф появился, потому что чистка зубов с брекетами более трудоемкая процедура по сравнению с обычной чисткой зубов. И в течение дня брекеты больше аккумулируют налет — какие-то микроостаточки пищи цепляются за них. Если не вычищать зубы тщательно утром и вечером, если, как минимум, не прополаскивать полость рта после еды при лечении на брекет-системе, то могут появиться белые и темные пятна вокруг брекетов, то есть начнут развиваться первые признаки кариеса. Под брекетами в любом случае кариес развиваться не будет, так как брекет герметично прилегает к зубу и фиксируется на клей, содержащий фтор, то есть, наоборот, укрепляющий эмаль и способствующий остановке кариеса. Сейчас ортодонты не берут пациента на лечение, пока у него не появится мотивация и не разовьются навыки самостоятельной домашней чистки зубов и тщательно следят за уровнем гигиенического состояния полости рта в процессе лечения. Если пациент соблюдает гигиену полости рта, то никакого кариеса и других признаков повреждения эмали быть не может! Если же не соблюдает, то не важно, установлены у него брекеты или не установлены — он в группе риска развития кариеса.
Нет, возрастных ограничений никаких нет. Зубы перемещаются в любом возрасте. Очень много взрослых пациентов, которые проходят ортодонтическое лечение.
Наши контакты
Имеются противопоказания, требуется консультация специалиста.












